Green Bay, Wisconsin

Our cutting-edge implant technology allows us to restore your smile in a matter of hours with unmatched precision.
With an in-house lab and an experienced team of oral surgeons, we take care of everything all under one roof!

Craig O’Donoghue, DDS
Dr. O’Donoghue earned his dental degree from the University of Iowa College of Dentistry after doing his undergraduate work at the University of Alaska in Anchorage and Fairbanks.
He has taken extensive postgraduate education in the areas of cosmetic dentistry, dental implants, full mouth reconstruction, dentures, IV sedation, oral surgery, and more, allowing him to provide his patients with comprehensive care to achieve the healthy, beautiful smiles of their dreams. His commitment to lifelong education ensures the highest level of care, both today and tomorrow.
In his spare time, Dr. O’Donoghue enjoys cooking and baking with his daughters, gardening, hunting, fishing, and beekeeping.
No hidden fees. No shortcuts. No compromise.

Premium FDA-Approved Zirconia Bridge, built to last.
At least 4-6 Implants for rock-solid stability.
Advanced 3D Imaging & Digital Smile Design for Flawless precision.
Pain-free procedure with General Sedation.
Full surgical care. Bone grafts, extractions & more.
Extensive After Including 4 FULL REVISIONS if needed
Everything you need for a permanent, life-changing smile in one powerful package.
Frequently Asked Questions
It’s an investment in your smile and your life. Unlike dentures that have to be replaced every few years, dental implants can last a lifetime with the right care. With flexible payment options, we work with each patient’s individual budget.
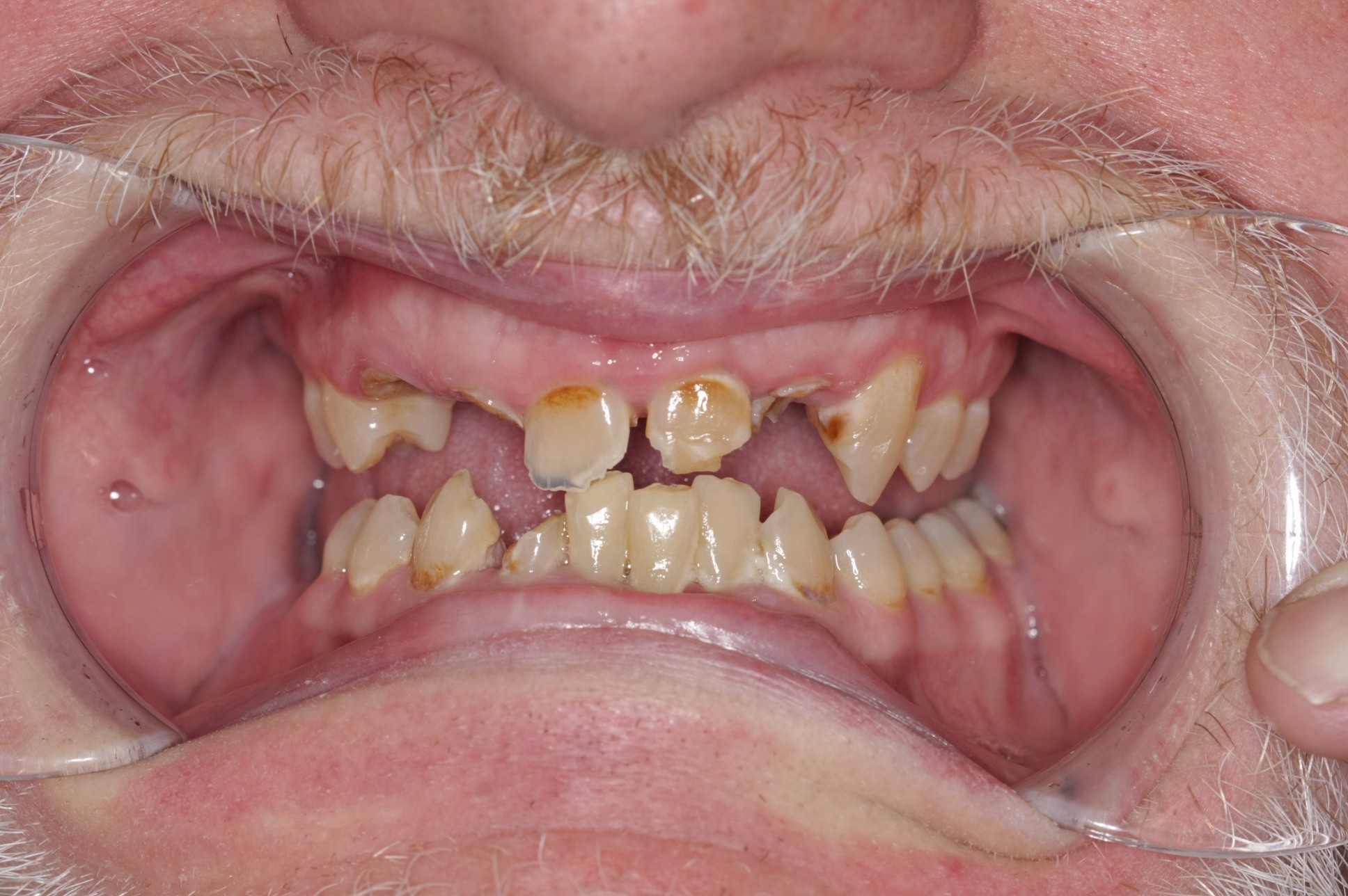
Most adults are. Good candidates are those missing multiple teeth, in good general health, and seeking a long-term solution. We’ll assess your suitability during the consultation.
We prioritize your comfort. The procedure is done under anesthesia, so you shouldn't feel pain during the surgery. Post-procedure discomfort is typically mild and manageable with medication.
This procedure used to take up to a year (believe it or not) but we use advanced modern equipment and workflows that have allowed us to restore your smile in a single day and then we customize your smile until it is absolutely perfect.
Just like natural teeth. Regular brushing, flossing, and dental check-ups are key. We'll also provide specific care instructions tailored to your situation.
Absolutely. Dental implants have a long track record of safety and success. We use high-quality materials and state-of-the-art procedures to ensure the best outcomes.
With proper care, a lifetime. All-On-X implants are built to last and can be a permanent solution with the right maintenance.
All-On-X can be a great upgrade. Many people switch from dentures to implants for more stability and comfort. We can evaluate if this switch is right for you.
1880 Velp Ave suite 2, Green Bay Wisconsin 54303
920-307-0106
This page is not affiliated with or endorsed by Google, Facebook, or any other platform used to promote this offer.